34歲男長期腹脹 全球罕見!竟是「百顆脂肪瘤」害腸道糾成團

  •  2025-05-14

34歲男長期腹脹 全球罕見!竟是「百顆脂肪瘤」害腸道糾成團 3

▲檢查發現男子腹部右側及中間部位布滿多發性脂肪瘤。

CNEWS匯流新聞網記者陳鈞凱/台北報導

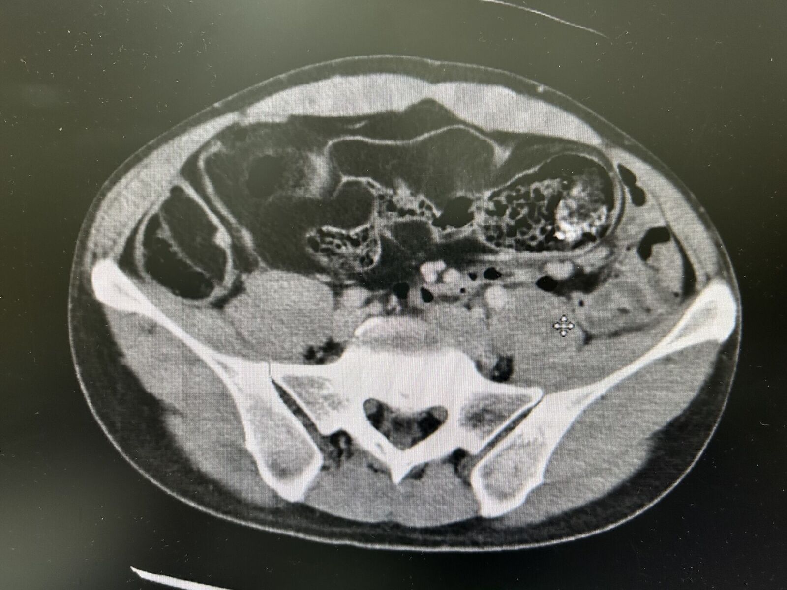
腹脹不舒服竟是腸道早糾結成團!一名34歲男子就因為長期腹脹就醫,沒想到影像檢查一看,連醫師都嚇了一大跳,原來小腸內竟藏有大量脂肪瘤性息肉合併多發性憩室及部分腸阻塞,手術花了超過3小時以上,由醫師一一精細剝離與切除,最終切出上百顆脂肪瘤、總重達2.5公斤的病變組織。

中山醫院胃腸肝膽科主任吳德強表示,該名男子一開始是因為長期腹脹的困擾至外院就診,初步大腸鏡檢查未見明顯異常,但右下腹觸診發現約5公分腫塊,這才轉診至中山醫院進一步檢查。

男子在經過電腦斷層掃描檢查之後,果然發現腹腔內多處低回音腫塊,並合併嚴重腸道糞便滯留,初步懷疑為「惡性腹腔脂肪肉瘤」,經多專科團隊會診後,決定採剖腹探查。

吳德強說,手術一打開肚子就發現男子末端小腸嚴重糾結,腸腔內填滿脂肪樣腫瘤與軟便,並合併數十處大小不一的腸憩室,整整花了3小時以上精細剝離與切除,成功清除總重達2.5公斤的病變組織。病理報告診斷為多發性脂肪瘤性息肉性腫瘤合併多發性憩室與部分腸阻塞,此類病變多數見於大腸,且腫瘤數量有限,但像男子這樣病灶集中於小腸末端,腫瘤數量近百,極為罕見。所幸男子術後恢復良好,10天後順利出院,進食與活動一切正常。

手術後,醫療團隊回溯病史發現,原來男子早於4年前的大腸鏡檢查中即發現類似脂肪瘤樣病變,但未依醫囑定期追蹤,導致腫瘤持續增生、逐漸堵塞腸道。

中山醫院胃腸外科醫師劉孟綸提醒,脂肪瘤性息肉雖屬良性腫瘤,生長緩慢且早期無症狀,但若未妥善追蹤,仍恐導致腸阻塞、出血、穿孔,甚至敗血症等嚴重併發症。因此,如果腸道檢查中曾發現脂肪瘤、息肉等病變,即使為良性也不可掉以輕心,應依醫囑定期追蹤。若出現腹脹、排便習慣改變、腹痛等情況,應儘早就醫。

照片來源:中山醫院提供

《更多CNEWS匯流新聞網報導》

登革熱幫兇竟也影響失智? 陽明交大找出治療阿茲海默新可能

川普砍藥價台灣能沒事? 專家曝「漲價、晚用藥、買嘸藥」最慘下場

【文章轉載請註明出處】